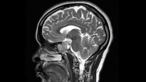
Гипофизом называется придаток мозга, который имеет округлый вид. Он является и органом внутренней секреции, вырабатывающим гормоны, влияющие на рост, обмен веществ и функцию репродукции индивидуума. Гипофиз становится основной частью эндокринной системы человека. Но также эта железа с большим функционалом занимает одно из первых мест по образованию на ней опухолевых проявлений. Так аденома гипофиза мрт которой становится сверхнеобходимой частью диагностических мероприятий, достаточно опасное заболевание. Но только благодаря такимисследованиям врач сможет подобрать необходимое лечение, которое принесет положительный эффект. Клиническая картина подскажет медику, что стоит назначить МРТ или КТ этой железы. Разницу между этими методами можно объяснить принципами действия, и ограниченностью одного из них. КТ нельзя делать более чем один раз в течение года. А МРТ не подойдет маленькому ребенку, поскольку в процессе проведения процедуры нельзя двигаться, а приковать его к одному месту попросту невыполнимо.

Однако если медик заговорил о проведении МРТ головного мозга и гипофиза, то не нужно забывать про эту процедуру. Сделанная вовремя процедура и правильный диагноз позволяет осуществлять эффективное лечение и порой даже не просто вылечить, а и подарить жизнь человеку. Каждая шестая опухоль этого сложного органа представляет собой аденому гипофизу. Такой опухолевый процесс образуется на железистых тканях гипофиза. Образоваться и развиваться опухоль способна в бессимптомном режиме. При ее обнаружении излечение медикаментами уже не в состоянии помочь пациенту. Первые подозрения на возникновение аденомы гипофиза должны стать направлением пациента на магнитно-резонансную томографию гипофиза.
Показания для проведения МРТ гипофиза, следующие: черепно-мозговые травмы, регулярные боли в области головы, скачок и понижение зрения, сокращение области периферийного зрения, неполадки в функционировании остальных желез организма, гормональные изменения, нарушение репродуктивной функции женского организма, нарушение эректильной дисфункции в мужском организме, подозрение на карликовость или гигантизм, сильная худоба или ожирение.






































