Пирантел — эффективное средство для борьбы с паразитами
Паразитарные инфекции являются распространенной проблемой, особенно в странах с низким уровнем гигиены и контроля за качеством питьевой воды. Одним из наиболее эффективных лекарственных средств...
Имплантация зубов как путь к комфортной жизни
Имплантация зубов – это современный метод восстановления утраченных зубов, который привносит не только эстетику улыбки, но и значительные преимущества для общего здоровья. Давайте рассмотрим,...
ЖК «Горный квартал» — мечта о жизни на природе, которая стала реальностью
Жить в гармонии с природой в Сочи
Сочи, курортная столица России, обладает невероятной красотой природы, сочетая в себе море и горы, мягкий климат и бескрайние...
Домашняя аптечка в сезон гриппа и орви
Домашняя аптечка в сезон гриппа и ОРВИ является неотъемлемой частью заботы о здоровье семьи. В этот период важно быть готовыми к возможным заболеваниям, таким...
Имплантация зубов в Москве Немецкий Имплантологический Центр
Для пациентов с поврежденными, сильно изношенными или отсутствующими зубами, которые хотят восстановить функциональность и эстетику улыбки, опытные стоматологи НИЦ предлагают комплексное решение проблем зубочелюстной...
Онлайн-тренировки по фитнесу с личным тренером: новый уровень заботы о здоровье и физической форме
Онлайн-тренировки по фитнесу с личным тренером — это новый уровень заботы о здоровье и физической форме. Сегодня все больше людей предпочитают заниматься спортом дома,...
Преимущества использования туристического мыла Nuga Best для здоровья и хорошего самочувствия
Вы ищете мыло, которое может обеспечить вам нечто большее, чем просто очищение кожи? Обратите внимание на мыло нуга бест изготовленное из натуральных ингредиентов, это...
Что такое биоревитализанты
Биоревитализанты - это вид эстетических инъекционных препаратов, которые в последние годы становятся все более популярными благодаря своей эффективности в омоложении кожи. В этой статье...
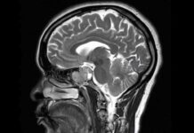
Что такое гипофиз, и почему так важно сделать его МРТ?
Гипофизом называется придаток мозга, который имеет округлый вид. Он является и органом внутренней секреции, вырабатывающим гормоны, влияющие на рост, обмен веществ и функцию репродукции...
Процедура биоревитализации и в чем ее польза
С возрастом кожа претерпевает различные изменения, которые могут привести к образованию морщин, тонких линий и потере объема. Биоревитализация - это косметическая процедура, которая может...








































